All
Search
Images
Videos
Maps
News
More
Shopping
Flights
Travel
Notebook
Report an inappropriate content
Please select one of the options below.
Not Relevant
Offensive
Adult
Child Sexual Abuse
Length
All
Short (less than 5 minutes)
Medium (5-20 minutes)
Long (more than 20 minutes)
Date
All
Past 24 hours
Past week
Past month
Past year
Resolution
All
Lower than 360p
360p or higher
480p or higher
720p or higher
1080p or higher
Source
All
Dailymotion
Vimeo
Metacafe
Hulu
VEVO
Myspace
MTV
CBS
Fox
CNN
MSN
Price
All
Free
Paid
Clear filters
SafeSearch:
Moderate
Strict
Moderate (default)
Off
Filter
santemagazine.fr
Radiographie pulmonaire : indications, déroulé, résultats
Votre médecin vous a prescrit une radiographie pulmonaire ? Il soupçonne sans doute une infection respiratoire ou une anomalie au niveau d’un organe du thorax comme le cœur, les poumons ou les vertèbres. Comment cela se passe ? À quels résultats s’att
Nov 8, 2023
Radiographie du Thorax: Définition
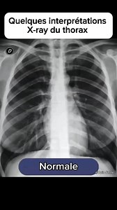
🚨Quelques interprétations de la radiographie du thorax. | Coin Santé plus
Facebook
Coin Santé plus
222.7K views
9 months ago
16:54
20K views · 282 reactions | 2eme seance de formation avec dr Harous sur la lecture de la radiographie du thorax instagram : learn.moredz | Dr.Bourbia Moncef | Facebook
Facebook
Dr.Bourbia Moncef
7.5K views
4 weeks ago
Ohlala Sellerie on Instagram: "Devenu un véritable indispensable, le gilet airbag est aujourd’hui incontournable pour la sécurité à cheval ! ✨ Tu ne sais pas lequel choisir ? 🤔 On t’en présente 3 modèles phares : 1. Le Gilet airbag Air 2 - Equithème by Freejump : zone de couverture élargie, allant même au-delà de la norme NF en satisfaisant à des impacts longitudinaux dans le dos. 2. Le Gilet Airbag Airlight 2 by Freejump : assure une protection des cervicales, du dos, des lombaires, du sacrum,
Instagram
12.6K views
4 months ago
Top videos
16:57
How to Interpret a Chest X-Ray (Lesson 7 - Diffuse Lung Processes)
YouTube
Strong Medicine
788.7K views
Feb 25, 2014
Radiographie - La radiographie pulmonaire normale
univ-rouen.fr
Nov 1, 2014
18:13
How to Interpret a Chest X-Ray (Lesson 8 - Focal Lung Processes)
YouTube
Strong Medicine
310.9K views
Mar 25, 2014
Radiographie du Thorax: Indications
Scanner abdominal : faut-il être à jeun, que voit-on ?
journaldesfemmes.fr
Jan 24, 2020
5:22
49K views · 227 reactions | Quand un pasteur noir tend la main à un militant du Ku Klux Klan. Premier reportage d’une série en guise radiographie des États-Unis, à l'approche des élections. rc.ca/RRjWfh | Radio-Canada Information | Facebook
Facebook
Radio-Canada Information
49.7K views
1 week ago
5:42
Anatomie du thorax en radiographie
YouTube
Medical Education Alliance
1 month ago
16:57
How to Interpret a Chest X-Ray (Lesson 7 - Diffuse Lung Processes)
788.7K views
Feb 25, 2014
YouTube
Strong Medicine
Radiographie - La radiographie pulmonaire normale
Nov 1, 2014
univ-rouen.fr
18:13
How to Interpret a Chest X-Ray (Lesson 8 - Focal Lung Processes)
310.9K views
Mar 25, 2014
YouTube
Strong Medicine
1:38
17K views · 408 reactions | Embolie pulmonaire; origine | Interprétatio
…
18K views
3 weeks ago
Facebook
Interprétation de radio en pneumo
La radiographie pulmonaire
Dec 31, 1999
doctissimo.fr
Scanner des poumons : comment ça se passe ?
Jan 16, 2023
journaldesfemmes.fr
Radiographie des poumons examen
Jul 14, 2010
docteurclic.com
Covid-19 : quelle est la précision diagnostique d'une imagerie pulm
…
Oct 13, 2020
futura-sciences.com
2:13
Pulmonary Infarction: Chest X-ray (Hampton's Hump)
9K views
Jan 10, 2021
YouTube
Medical Education for Visual Learners
6:47
CT Scanner EMBOLIE PULMONAIRE - Partage de pratiques
17.2K views
May 19, 2022
YouTube
Medical Professionals-Refining Radiology
2:35
interprétation radiologique type
4.3K views
Feb 7, 2019
YouTube
Dr Sisi
5:41
🔴 PNEUMONIA, PLEURISM, INFARCTION OR ATELECTASIA?!
202.8K views
Feb 2, 2019
YouTube
Dr Astuce
4:15
Interprétation Téléthorax N°01: Radiographie du Thorax Syndrom
…
13.2K views
Oct 30, 2021
YouTube
POSTERS VISION Santé et Médecine
13:45
Solitary Pulmonary Nodule - Radiology Approach
38.2K views
Mar 11, 2012
YouTube
Bhavin Jankharia
42:01
introduction à la radio pulmonaire
17K views
May 16, 2020
YouTube
Pneumologie
25:22
comment lire une radio thoracique
17.3K views
May 20, 2020
YouTube
Pneumologie
11:02
Que peut-on détecter sur une radio ou un scan des poumons ?
1.3K views
7 months ago
YouTube
Denis Fortier
48:53
Lecture de la radiographie pulmonaire Pr Hind Serhane
9K views
Sep 7, 2022
YouTube
MGMaroc
14:59
How to Identify a Pneumothorax on Xray - Strategies from a Radiologist
24K views
Jun 29, 2023
YouTube
Medical Basics
10:50
Radiology | Pulmonary embolism for EDN (basics for all physicians)
11.4K views
Dec 7, 2022
YouTube
Robin RIGAUDEAU
1:41
Anatomie générale : les poumons
33.7K views
Jul 8, 2020
YouTube
Université Claude Bernard Lyon 1
6:59
Chest X-ray - ABCDEFGHI - Part 2 - Doctor Synapse
133.7K views
Jul 30, 2018
YouTube
El Mehdi Channan
10:49
Série Radio : Syndrome bronchique de A à Z
14.3K views
Mar 19, 2022
YouTube
Your Pulmonologist
Opacité pulmonaire : définition, causes, radio, traitement
Feb 1, 2023
journaldesfemmes.fr
16:39
Pneumothorax - Hydro pneumothorax - Emphysème pulm
…
32.3K views
May 9, 2020
YouTube
Rio Vas
3:41
Au coeur des organes : La respiration
20.3M views
Apr 15, 2016
YouTube
Inserm
10:11
The Basics of Pulmonary Circulation
20.2K views
Jan 1, 2020
YouTube
Catalyst University
1:53
2mn pour comprendre LE CANCER DU POUMON du Lundi 02 Mars 2020
17.1K views
Mar 3, 2020
YouTube
RTI Officiel
0:29
PULMONARY EMBOLISM / EMBOLIE PULMONAIRE / ECHOCARDIOGR
…
22.9K views
Feb 24, 2009
YouTube
ECHOCARDIOGRAPHY
See more videos
More like this
Feedback