Top suggestions for VSD |
- Length
- Date
- Resolution
- Source
- Price
- Clear filters
- SafeSearch:
- Moderate
- ASD Closure
Animation - PFO Closure
Procedure - VSD
Animation - VSD
Heart Defect - VSD
Murmur - VSD
Operation - VSD
Procedure - Venous Closure
Device - PDA Closure
Procedure - Vascular Closure
Devices - ASD Closure
Amplatzer - Percutaneous VSD Closure
Procedure - ASD Closure
Cath - Atrial Septal Defect
Surgery - ASD Closure
Tee - VSD
Device Closure - VSD
Repair Surgery - PFO Closure
Access - VSD
On Echo - PFO Closure
Recovery - VSD Repair Surgery
Steps - Types of
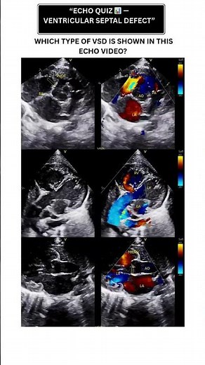
VSD Echo
Top videos
See more videos
More like this

Feedback